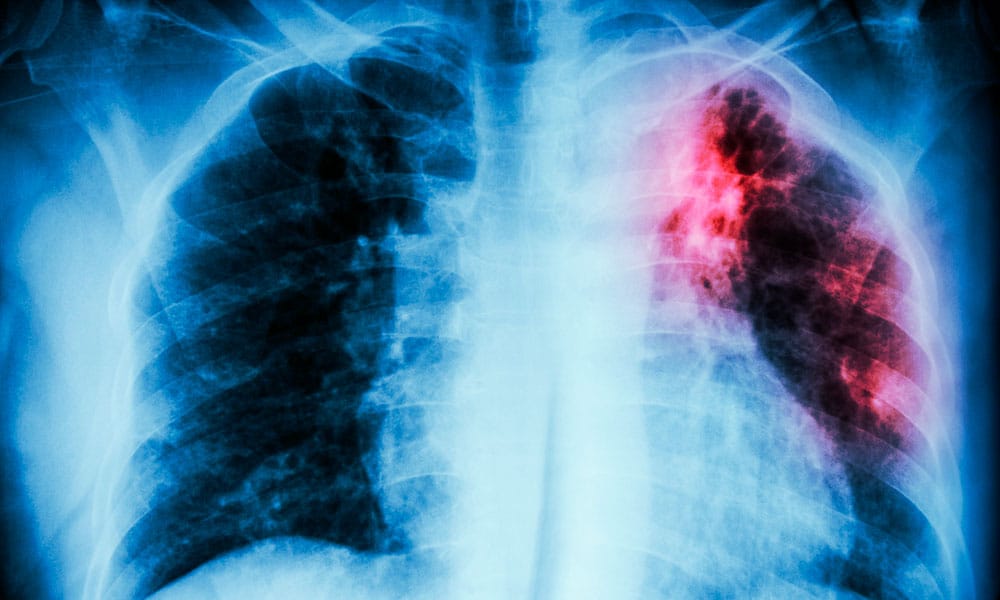
LAREDO, TX. – La movilidad transfronteriza de personas sigue siendo relevante para autoridades de salud que marcan preocupación por 54 casos de tuberculosis registrados.
Se trata de una enfermedad contagiosa que lacera pulmones y es transmitida por aire cuando una persona infectada tose, habla o estornudar. Es curable, refiere el Departamento de Salud, pero requiere de ser constante en los tratamientos.
Históricamente Laredo y Nuevo Laredo han enfocado esfuerzos para mantener el control dentro de un programa binacional de vigilancia.
Desde los años 70´s las relaciones binacionales han sostenido comunicación porque, sin importar el estatus de vida, la tuberculosis no distingue y se ha detectado en laredenses con estatus social cómodo, así como en quienes viven en condiciones socioeconómicas difíciles.
Dr. Richard Chamberlain y el alcalde Dr. Victor Treviño hicieron llamado a la comunidad binacional para considerar los factores de riesgos en la región binacional.
En Laredo se reporta un alto índice ciudadano sin seguro médico, además estarían asociadas enfermedades como diabetes y VIH que debilitan el sistema inmune.
Se recomienda exámenes de rutina, atención médica oportuna y conciencia de síntomas como tos persistente, fiebre, sudor nocturno y pérdida de peso inexplicable.
La ciudad de Laredo sigue comprometida con la promoción de la salud pública, alentar los chequeos rutinarios y asegurar que los residentes tengan acceso a los recursos que necesitan para mantenerse informados y sanos.
Aunque la recomendación es evitar el contacto con personas infectadas y sin tratamiento, deben mantener ventilación en espacios cerrados.









